티스토리 뷰
새끼손가락의 인대가 완전파열되어 수술을 고민하다 비수술 보존요법으로 치료를 한 후기를 남겨봅니다.
전문적 의학적 지식이나 소견이 아니고 수술로 고민하시는 분에게 조금이나마 선택의 정보를 드리기위해 작성한 글입니다.
판단은 본인의 상황에 맞춰 선택하시길 바랍니다.
1. 새끼손가락 탈골로 인한 인대 완전 파열 발생
봄이되고 새해가 되면 무엇인가 도전해보고 싶은 마음이 생깁니다.
저도 새해가 되면서 계획을 세우며 2022년 1월1일 부터 건강한 생활을 하기위해 운동을 해보기로 마음을 먹고 운동을 시작하였습니다.
나이가 많아 운동전 기본적인 몸풀기등 스트레칭을 하고 안전하게 운동을 해야되는데 마음만 급하게 먹고 무리하게 운동을 하다 다른사람과 부딫히면서 손가락 인대 파열이 발생되었습니다.
아래의 사진과 같이 새끼손가락이 옆으로 휘어져 버렸습니다.


수영 운동 후 왼쪽 어깨통증 있으신분 필독 ! (회전근개 파열 치료중)
수영 운동 후 왼쪽 어깨통증 있으신분 필독 ! (회전근개 파열 치료중)
건강을 위해 다시 시작한 수영이 오히려 어깨통증을 불러왔습니다. 꼭 수영이 원인이 아닐 수도 있지만 어깨통증이 삶의 질을 현격히 떨어뜨리는 것은 확실한것 같습니다. 현재 회전근개 부분
nohu50.com
2. 응급초치후 수지전문 병원 방문
처음에는 당황스럽고 너무 놀래서 아픈줄도 몰랐던것 같습니다.
문득 생각한것이 단순히 뼈가 이탈된거라면 살짝 당겨서 바로 잡으면 안될까 하는생각도 해보았지만 인대파열에 대해 아무것도 모른 상태였기에 이런생각도 해보았던것 같습니다.
절대로 본인이 무엇인가를 할 생각은 하지마시고 있는 그대로 병원을 방문하시는것이 최선의 방법입니다.
단순염좌는 찜질 약물복용 한방등으로 시간이 지나면 자연치료가 가능하지만 사진과 같은 정도의 상태라면 최단시간내에 수지전문병원을 가셔야 됩니다.
방문전 전화통화를 하셔서 진료가 가능한지 체크하시고 방문하시길 바랍니다.
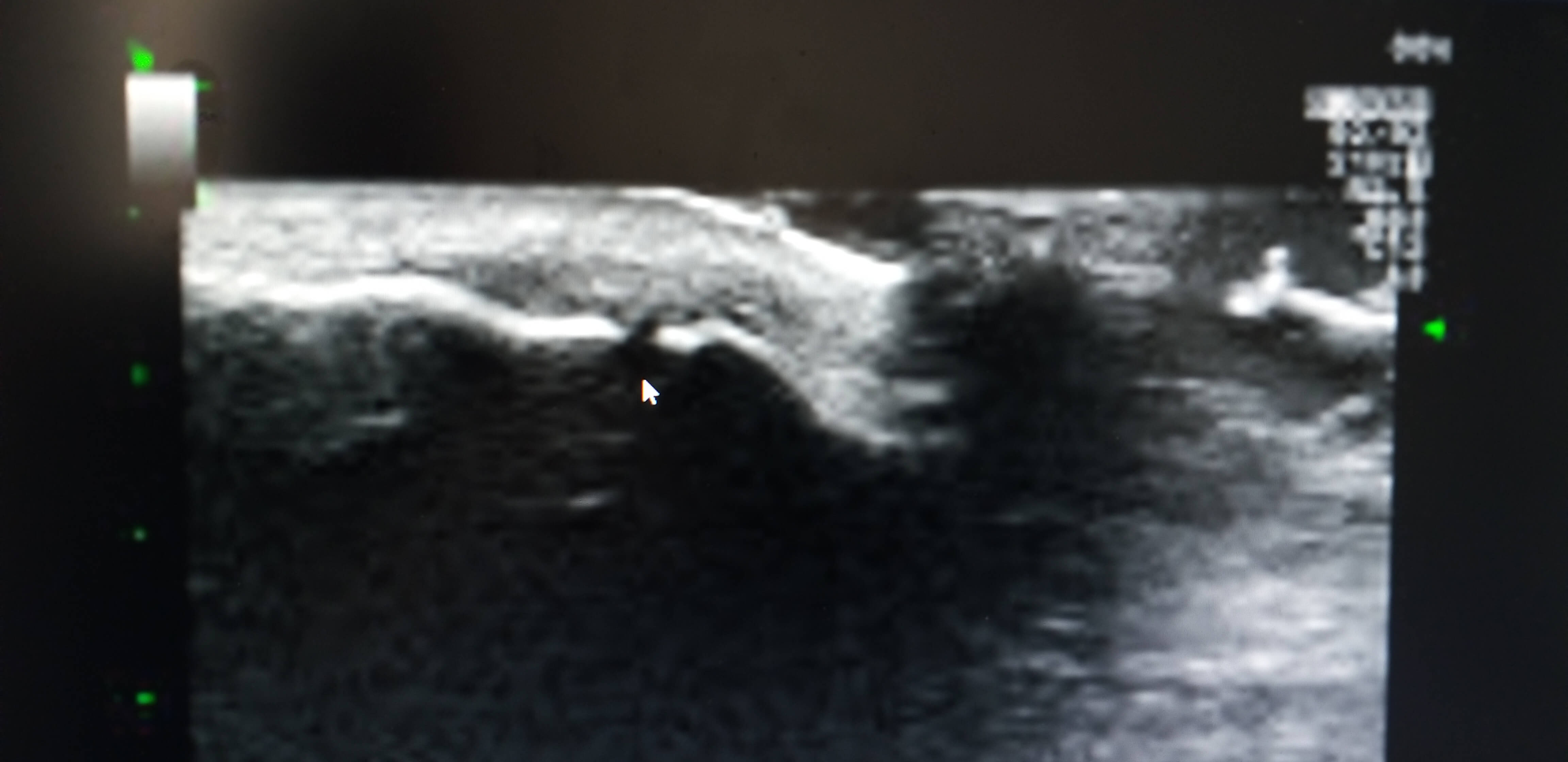
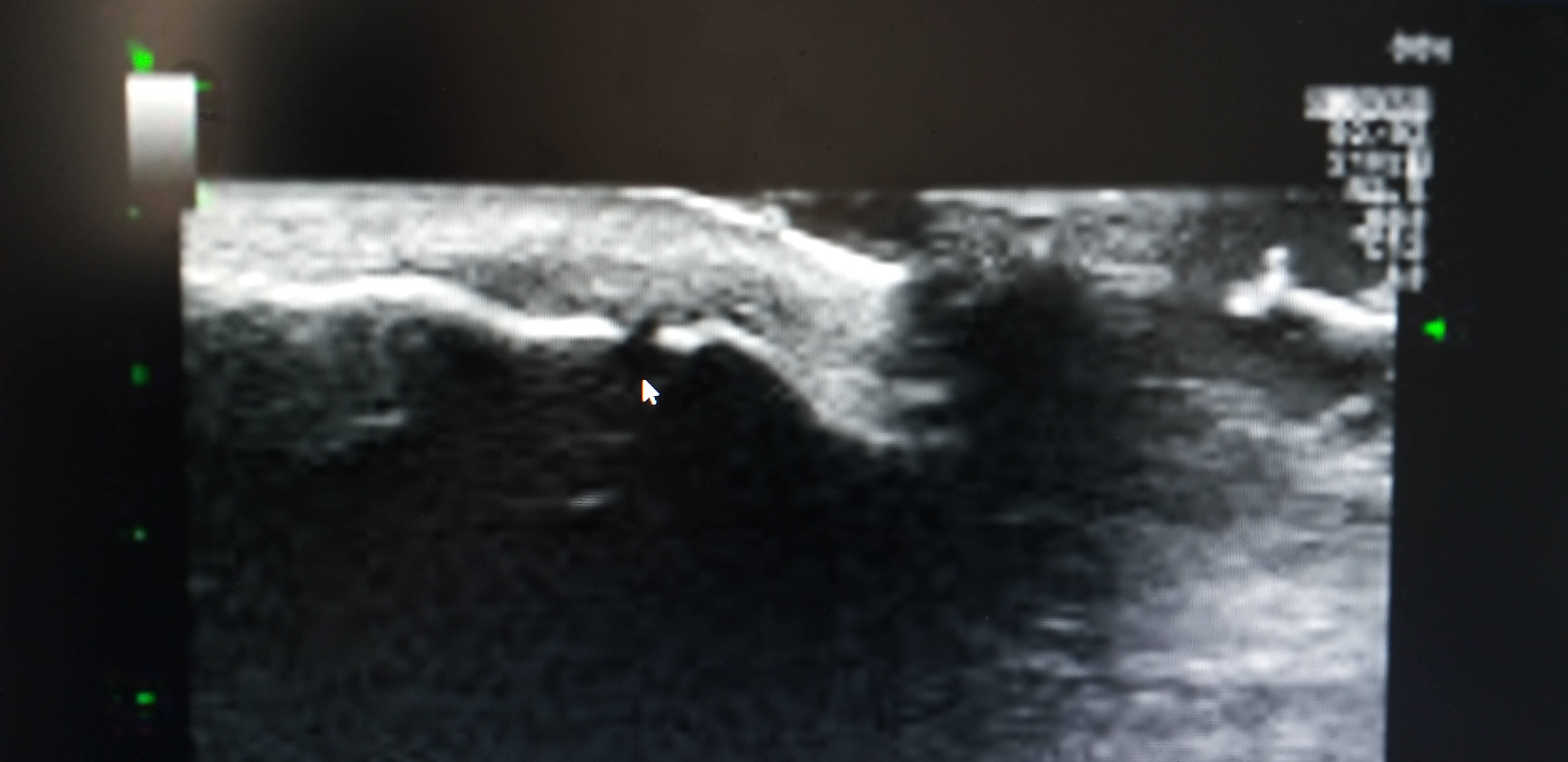
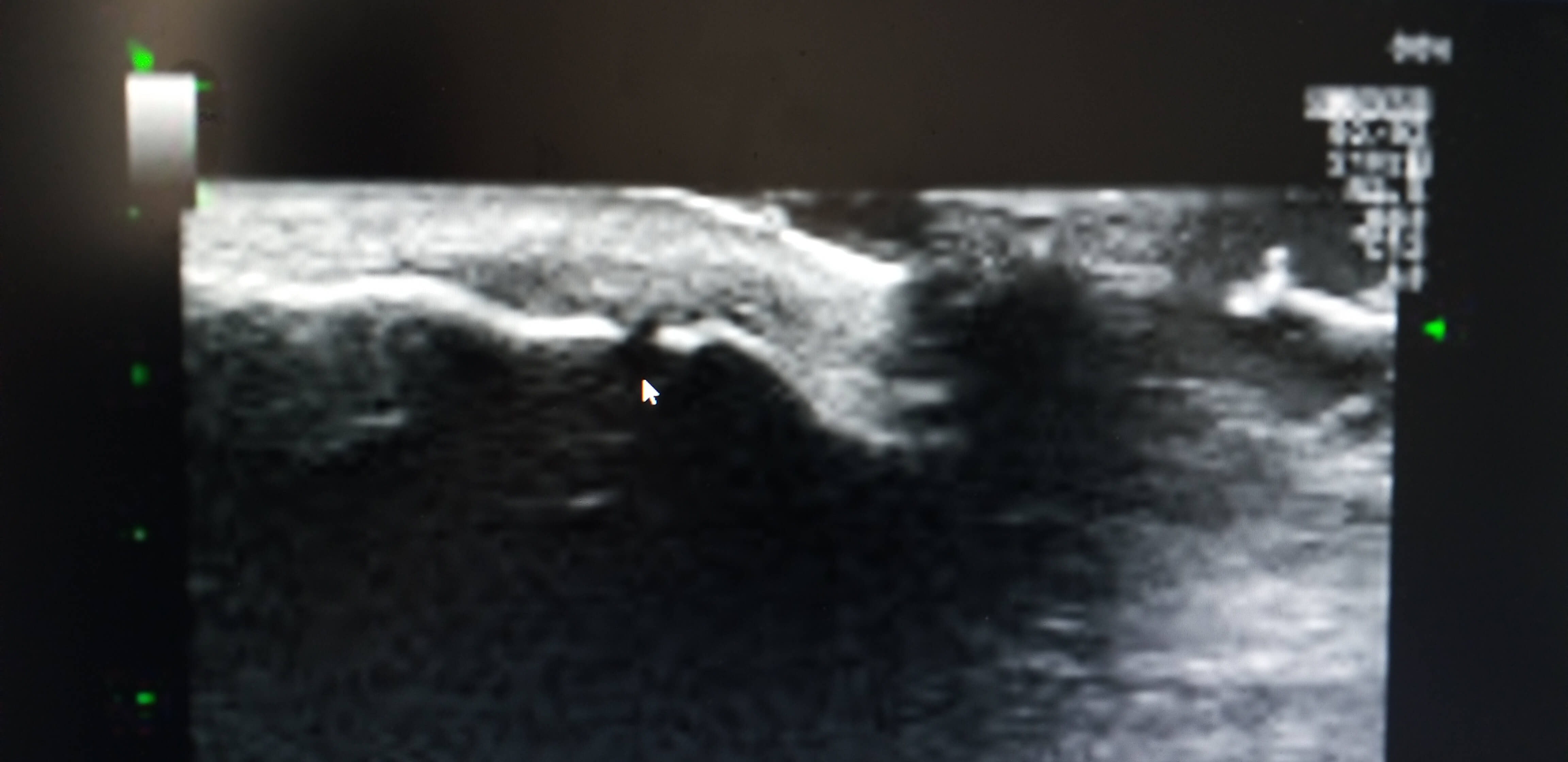
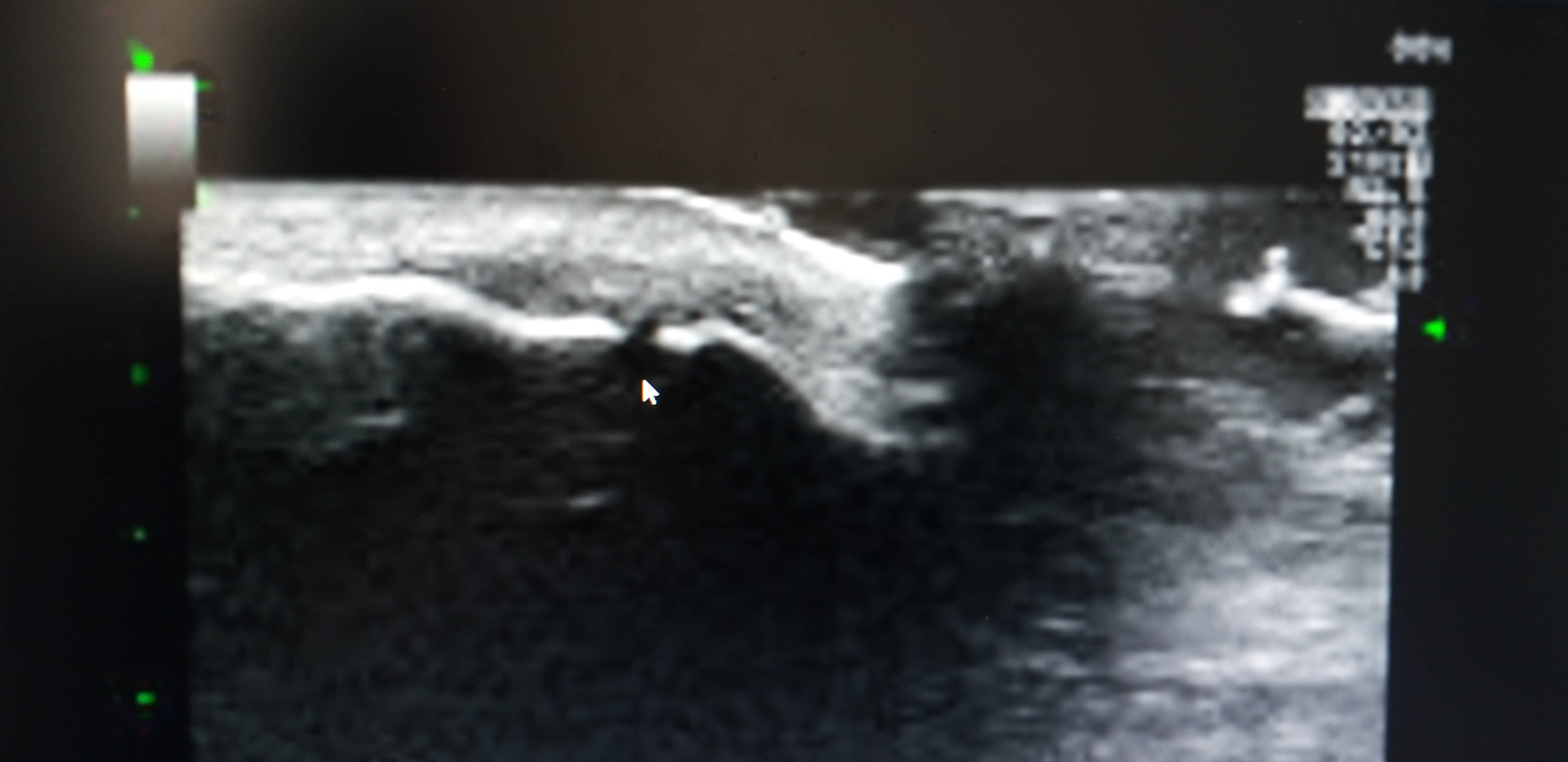
3. 새끼손가락 인대 파열 정도
수지전문 병원이 집근처에 있어 바로 검사를 시행하였습니다. 아래사진에서 보듯이 X-RAY 상에서 손가락이 옆으로 휘어져 있습니다.
의사선생님 말씀으로는 인대가 완전 파열된 상태이며 인대가 원래 뼈에 붙어있는 상태에서 충격이나 골절로 파열될때 뼈조각이 같이 떨어지는 경우가있다고 하셨고 나의 상태도 손가락 인대 완전 파열과 뼈조각 제거 수술을 바로 진행해야 된다는 진단을 받았습니다.
참고로 수지전문 병원마다 의사의 소견이 틀리며 처음으로 간 병원은 X-ARY 초음파 검사만 하고 바로 수술결정을 내렸습니다.
두번째 다른 병원에서 진찰하였을때는 수술이 필요하지 않다고 진찰하였고 자연적으로 인대가 재생된다고 말씀하셨고 혹시 치료중 문제가 발생되고 수술이 필요하다고 판단될때는 MRI를 촬영하자고 진찰받았습니다.






응급처치로는 당직 의사선생님께서 휘어진 손가락을 잡아당기면서 틀어진 손가락의 위치를 바로잡아 주셨고 처음에는 조금 아팠지만 바로잡힌 손가락을 보니 마음이 한결 편해졌습니다.
물론 치료가 된것이 아니라 손가락 위치를 바로 잡은것뿐이었습니다. 그리고 처방전을 받고 약국에서 진통제를 받고 집으로 귀가했습니다.


40대중반에 찾아온 오십견 증상(유착성 관절낭염) 및 치료 후기
40대중반에 찾아온 오십견 증상(유착성 관절낭염) 및 치료 후기
일명 오십견이라고 하지요? 전문용어로 유착성 관절낭염이라고 합니다. 오십 대에 많이 온다고 하는데 저는 40대 중반에 찾아와 정형외과 세 군데 , 한의원, 전기치료, 모든 곳을 섭렵할 만큼 많
nohu50.com
4. 첫번째 병원에서의 진찰 과 두번째 병원에서의 진찰내용
① 첫번째 병원 진찰
손가락 인대파열 발생직후 바로 방문한 병원에서는 야간당직 선생님께서 진찰하셨고 X-ARY 사진및 초음파 검사로 확인하였습니다.
진찰후 본인의 소견으로 손가락인대가 완전히 파열되었고 뼈조각이 떨어져 나와서 제거수술을 해야 된다고 이야기를 하였습니다.
빨리 진행하지 않으면 손상이 더 커지고 문제가 발생될수 있다고 말씀을 하셔서 다음날 오전진료를 다시 받고 수술날짜를 급하게 잡았습니다.
수술진행 및 치료과정은 대략적으로 수술은 입원을 해야되고 일주일정도는 입원을 해야되며 퇴원후 한달정도 통원치료를 받고 그뒤로 손가락의 상태에 따라 몇달정도의 재활치료가 필요하다고 일정을 이야기 해주었습니다.


1종대형 운전면허 학원비용 및 필요서류 취득과정 <완벽정리>
1종대형 운전면허 학원비용 및 필요서류 취득과정 <완벽정리>
혹시 운전을 하다 레미콘 차량 또는 덤프트럭 , 화물자동차등을 많이 보셨을 겁니다. 이러한 차량을 운전하기 위해서는 1종대형면허가 있어야 되는데요 물론 1종보통운전면허로 운전할수 있는
nohu50.com
② 두번째 다른병원 진찰
첫번째 수지전문 병원 진료후 입원 일주일 후 한달간 치료 와 몇달간의 재활치료를 받아야 된다고 진단을 받은후 많은 고민에 빠졌습니다.
한집의 가장으로서 일을 해야되는데 몇달간 휴직을 할수없는 입장이었기에 어떻게 해야되나 걱정을 많이 하였습니다.
그리고 인터넷 및 지인에게 여러가지를 물어본뒤 병원은 몇군데 가봐야 한다고 하며 추천해주는 병원을 다음날 가보았습니다.
다친사진 및 경과를 모두 설명드렸고 이전병원에서의 사진을 보여드렸고 다시 X-RAY 사진촬영을 하신후 진단받은 결과로는 손가락 인대파열은 엄지손가락 말고는 기본적으로 보존적 치료를 먼저 한다고 말씀하셨습니다.
경남 당일치기 가볼만한곳 아이들 체험위주 ( 더카트인통영 )
경남 당일치기 가볼만한곳 아이들 체험위주 ( 더카트인통영 )
주말만 되면 아이들을 데리고 어리로 바람 쐬러 갈까? 하는 생각을 늘 했던 것 같습니다. 경남 당일치기로 가볼 만한 곳으로 더카트인 통영이 좋을 듯합니다. 성인, 청소년 어린이가 탈 수 있는
nohu50.com
뼈조각은 크기나 형태에 따라 문제가 발생되지 않아보이고 새끼손가락의 배열도 잘맞아서 수술은 권유하지 않았습니다.
한달동안 부목을 손가락에 고정시키고 상태를 확인해보자고 말씀하셔서 이게 도대체 무슨일인지 마음속으로는 다행이라고 생각하고 몇번을 수술안해도 되냐고 물었습니다.
두번째 병원을 선택했고 진통제도 주지않고 단지 부목만 손가락에 고정하고 진료는 마무리 되었습니다.


부정교합 <가위교합 과개교합> 치아교정 진행과정 실제후기 (1)
부정교합 <가위교합 과개교합> 치아교정 진행과정 실제후기 (1)
저의 집 아들들이 부정교합 (가위교합 , 과개교합)을 교정 중인데 진행과정을 간단하게 정리해 보았습니다. 한번교정 들어가면 2년~3년 정도 걸리고 비용도 몇백만 원씩 들기 때문에 처음부터 병
nohu50.com
5. 병원 치료 과정
① 2~3일간격으로 병원방문후 상태확인
진찰을 받고 한달동안은 2~3일간격으로 손가락의 이상유무 상태확인을 하고 손가락의 변형또는 문제점이 있는지 일정간격으로 X-RAY 촬영만 하였습니다.
특이사항이 없을시 간단한 진료후 손가락에 부목을 댄후 붕대로 고정시키고 진료를 끝냈습니다.
정말 이게 치료가 되는건지 의심이 가고 수술을 했어야 됐나 하는 생각도 들었습니다.
또다른 병원에 가서 진료를 받아볼까 하는 생각도 하였지만 그냥 여기서 치료를 받기로 마음을 먹었습니다.


② 한달동안 손가락 치료 변화 과정
거의 한달동안 치료라기 보다는 붕대로 고정하고 인대가 재생되는지 모르겠지만 일단은 안정을 취하고 고정을 하여 상태변화 확인만 하였습니다.
약먹는거도 없었고 손가락에 충격만 가지 않게 생활하였고 일상적인 생활 및 직장도 다니면서 치료를 받았습니다.
한달정도 지날무렵 손가락 피멍은 거의 없어졌으며 손가락이 많이 퉁퉁부은 상태로 유지되고 있었습니다.









탈모 완화 닥터 모리엔 내돈내산 3개월 실제 사용후기
현재 탈모를 겪고 있고 이를 극복하기 위해 노력하는 모든 분들을 응원합니다! 내나이 중년의 문턱을 넘어 가는시점에 남성형 탈모를 겪고 있는 탈모선배로서 요즘 쇼핑몰에서 핫하게 뜨고 있
nohu50.com
③ 한달이 지난후 압박붕대를 풀고 물리치료 및 재활치료 과정
한달동안 부목을 고정하고 별다른 치료없이 통원진료를 받고 난후 의사선생님이 재활치료를 하면 된다고 말씀하셨고 재활치료란 한달동안 굳은 관절을 가동할수 있도록 조금씩 관절을 풀어주어야 한다고 하였습니다.
그러면서 손가락을 구부릴려고 하는데 손가락 관절이 완전히 굳어서 꼼짝도 하지않고 그 고통이 엄청났습니다.
당연히 선생님께서는 확인하는정도였지만 앞으로의 재활이 만만치 않겠다는 느낌이 머리를 스쳐 지나갔습니다.
<내돈내산>탈모치료 예방 원텍 헤어빔 사용 리얼 솔직 후기
<내돈내산>탈모치료 예방 원텍 헤어빔 사용 리얼 솔직 후기
탈모 치료 예방에 효과가 있다고 해서 원텍 헤어빔을 직접 구매하여 사용한 후기를 작성해 보았습니다. 탈모인구가 남녀노소를 가리지 않고 늘어나고 있습니다. 탈모의 고통은 제가 20년을 겪어
nohu50.com
그리고 선생님께서 말씀하시길 개인의 차이가 있겠지만 재활치료중 많이 아프실겁니다 라고 말씀하셨고 정말 정말 많이 아팠습니다.
혼자서 따뜻한 물을 받아놓고 정말 열심히 재활을 하였습니다.
병원에서는 물리치료를 받았고 온열치료 및 파라핀 치료를 받고 물리치료사가 와서 손가락 마사지 및 굳은 근육을 풀어주셨고 손가락 움직이는 각도를 조금씩 늘려주셨습니다.
다행히 저는 빨리 재활이되어서 손가가락 움직이는 각도는 정상으로 돌아왔습니다.










40대 비절개 모발이식(3000모) 후기 병원 및 가격 생착률 주의사항
40대 비절개 모발이식(3000모) 후기 병원 및 가격 생착률 주의사항
40대에 비절개로 3,000모 모발이식한 경험으로 병원 및 가격 주의사항을 자세하게 정리하였습니다. 혹시 모발이식을 고민하는 우리 탈모인이 계시다면 천천히 읽어보시고 도움이 되었으면 합니
nohu50.com
6. 현재의 상태
2022년 1월중순쯤 손가락 인대 파열된후 한달동안 부목으로 고정시켜서 안정화 시키면서 별다른 먹는약없이 통원치료를 받았습니다.
그후 한달정도 물리치료 및 재활치료를 하면서 1년3개월정도 지난 현재는 기능상으로는 정상으로 돌아왔습니다.
단지 손가락 마디가 정상적인 손가락보다 조금 굵으며 타이핑을 많이 하면 욱신거리는 정도의 상태입니다.
단지 주의 해야될점은 치료 및 재활기간이 지나고 손가락이 자유로워 질때 절대로 무거운것을 들거나 무리한 운동을 해서는 절대 안됩니다.
인대가 자리잡고 완전복구 되는 기간이 1년정도라고 생각되고 복구되는 과정에서 무리하시면 다시 파열이 올수있다고 하셨습니다.
손가락 인대 파열후 수술은 본인의 선택이며 혹시 내가 수술을 하였다면 좀더 치료가 잘되었을까 하는 생각도 해보지만 비수술 치료 보존치료로도 현재 상태는 좋아 만족하고 있습니다.




개인적인 판단으로 치료방법을 결정하지 마시고 의사선생님과 충분히 상담후에 치료방향을 결정하시는걸 추천드립니다.
▶캠핑용품 숯불 장작구이 맛을 내는 지라프 구이바다 사용후기<내돈내산>
▶운전면허 정지 및 취소 벌점기준 및 일상생활 벌점항목 완벽정리!!
▶부산 기장 해동 용궁사 방문후기 (주자창 및 입장료)
▶40대 중년 건강 복싱해도 될까? 복싱할때 부상 및 주의점 운동꿀팁 !
▶고속도로 지정차로 위반시 과태료 및 지정 차선 통행방법
잠깐만요 !! 도움이 되는 글들이 있습니다~
40대 추천 자격증! 자동차운전 전문학원 <기능강사 학과강사 기능검정원>
40대 추천 자격증! 자동차운전 전문학원 <기능강사 학과강사 기능검정원>
기능강사, 학과강사, 기능검정원 자격증에 대해 들어본 적이 있으신가요? 우리가 운전면허를 취득하기 위해서는 학과강의를 3시간 듣고 기능연습을 하고 시험을 응시하잖아요 이런 강사님들이
nohu50.com
신규 운전 정밀 적성검사 시간 장소 비용 및 연습하는 방법 총정리
신규 운전 정밀 적성검사 시간 장소 비용 및 연습하는 방법 총정리
신규 운전 정밀 적성 검사 시간 , 장소 , 비용 과 진행방법을 정말 쉽게 정리 하였습니다. 나도 응시후 적합판정을 받았지만 그냥 무작성 가서 응시하면 어려울수 있습니다. 어떻게 하는지 요령
nohu50.com
경남 산청 경호강 래프팅 당일치기 가족여행 리얼후기
경남 산청 경호강 래프팅을 당일치기로 다녀왔습니다. 가격 준비물 위치등을 자세하게 정리하였습니다. 아이들과 함께 하기에는 정말 좋은 체험인 것 같습니다. 노를 젓는 것이 조금 힘들 수 있
nohu50.com
50대도전! 버스운전 자격증 시험 종목 난이도 분석 및 응시후기
50대도전! 버스운전 자격증 시험 종목 난이도 분석 및 응시후기
2023년 7월 버스운전 자격시험을 응시를 하였습니다. 응시하고 난 뒤 시험종목 및 난이도를 간단하게 요약하여 정리하였습니다. 난이도는 별로 어렵지 않으나 암기해야 되는 부분은 암기해야지
nohu50.com
'돈을 아끼는 건강정보' 카테고리의 다른 글
| 탈모 완화 닥터 모리엔 내돈내산 3개월 실제 사용후기 (0) | 2023.06.23 |
|---|---|
| 탈모의 원인과 치료방법 및 탈모약 종류 부작용 간단정리 (0) | 2023.06.17 |
| 40대중반에 찾아온 오십견 증상(유착성 관절낭염) 및 치료 후기 (0) | 2023.05.20 |
| 운동 또는 자다가 다리 쥐가 났을때 대처방안 (0) | 2023.05.17 |
| 복싱할때 조심해야될 갈비뼈 실금 부상 (0) | 2023.05.05 |