티스토리 뷰
저의 집 아들들이 부정교합 (가위교합 , 과개교합)을 교정 중인데 진행과정을 간단하게 정리해 보았습니다.
한번교정 들어가면 2년~3년 정도 걸리고 비용도 몇백만 원씩 들기 때문에 처음부터 병원선택을 잘하셔야 합니다.
무엇보다도 부모님이 부정교합에 대한 충분한 공부를 하고 가셔서 상담을 받으셔야 합니다.
세군데 병원을 다니면서 상담받아본 경험으로 부모님이 충분한 지식을 가지고 있으면 의사 선생님의 상담태도가 달라집니다.
아직도 교정 진행 중이지만 개략 5개월 정도의 치료과정을 정리해 보았으니 조금이나마 도움이 되었으면 합니다.
부정교합 진행과정
「병원상담」▶「병원선택」▶「정밀검사 1차」▶「교정실시(가위교합)」▶「교정실시(가위교합+과개교합)」
▶「정밀검사 2차」▶「교정실시(전체교정)」▶「진행 중」
1. 치아상태 확인 (상담)
2. 병원선택
3. 정밀검사 1차→치아상태 확인
4. 교정실시 (가위교합)→3개월 완료
5. 교정실시 (가위교합+과개교합)
6. 정밀검사 2차→발치여부 판단
7. 교정실시(전체교정)→진행 중
■ 치아상태 (가위교합, 과개교합)
시대가 참 많이 변한 것 같습니다. 옛날 같았으면 태어난 상태의 치아로 그냥 살아갔는데 요즘은 의술이 발달되어 치아교정이 일반화된 것 같습니다.
고등학생 아들이 두 명 있는데 작은아들의 어금니는 누 운상태의 가위교합이고 윗니가 밑에 이를 덮는 과개교합입니다.
의사 선생님 왈 "어렸을 때 왔으면 간단하게 교정할 수 있었는데 지금 교정하면은 2년~3년 정도 걸릴 것 같아요"라고 말씀을 하시네요.
이 글을 읽고 계신 모든 부모님은 정말 골든타임을 놓치지 말길 바랍니다. 간단하게 정리할 수 있는 것을 돈 없어서 귀찮아서 놓아두시면 나중에 아이들의 고통은 2배 돈은 5배 더 들어갑니다.
주위에서 이러한 경우 수도 없이 많이 보았습니다. 지금 여러분의 아이들 치아상태를 한번 확인해 보시길 바랍니다.
2023.07.15 - [힘이 되는 생활정보] - 한국나이,연나이,만나이 완벽정리 및 시행일 과 계산하는 방법 총정리
한국나이,연나이,만나이 완벽정리 및 시행일 과 계산하는 방법 총정리
한국에서 사용하는 나이는 한국나이, 연나이, 만 나이 세 가지가 있습니다. 계산하는 방법 적용하는 경우 등 간단명료하게 정리를 하였습니다. 한국나이가 3종류가 되니 문서 또는 법적으로 문
nohu50.com
1. 가위교합
아들치아 교정하면서 공부도 참 많이 하게 되네요. 영구치의 치아상태가 위, 아래 어금니가 누운 상태로 지냈습니다. 이것을 가위교합이라고 합니다.
집에서 쓰는 가위 아시죠? 이처럼 위,아래 어금니가 맞지 않은 상태를 가위교합이라고 합니다.
위,아래 어금니가 안.밖으로 쓰러져 있는 상태입니다. 이 상태로 계속 두면 부정교합 시간이 길어져 치아가 더욱 틀어짐이 심해지며 결국은 발치를 빨리 해야 될 상황이 오게 됩니다.
그리고 치아라인도 계속 틀어지게 되고 잇몸도 상태가 안 좋아지게 됩니다.
◎ 아들치아교정 전 상태확인 (가위교합사진)
- 「윗 어금니 가위교합 1개」
- 「아래 어금니 가위교합 1개」


경남 가족여행 당일치기 가볼만한곳 합천 영상테마파크 <코스완벽정리>
경남 가족여행 당일치기 가볼만한곳 합천 영상테마파크 <코스완벽정리>
경남 1박 2일 또는 당일치기로 아이들과 또는 연인 친구끼리 어디를 갈지 고민이십니까? 부담 없이 다녀올 수 있고 반나절을 충분히 알차게 보낼 수 있는 합천영상테마파크를 소개해드릴게요~
nohu50.com
2. 과개교합
과개교합은 윗니가 아랫 니를 덮는 정도가 정상범위를 넘어갈 때 과개 교합이라고 합니다. 간단하게 말해서 윗니가 아랫니를 덮어버린다는 뜻입니다.
반대로 입을 다물었을때 윗니 아랫니가 붙지않고 떨어져 있으면 개방교합이 되겠지요.
치아는 서로 잘 맞물려야 제 기능을 하게 되는데 과개교합이 길어질수록 아래치아가 마모가 심해지며 턱관절이 안 좋아질 수 있습니다.
◎ 아들치아교정 전 상태확인 (과개교합사진)
- 「윗 앞니 과개교합」


오륜대 땅뫼산 황토숲길 맨발걷기 다녀온 후기 (주차장안내)
오륜대 땅뫼산 황토숲길 맨발걷기 다녀온 후기 (주차장안내)
맨발 걷기가 건강에 엄청 좋은 것은 알고 계신가요? 지인 중에 맨발 걷기로 고혈압이 정상으로 돌아왔다는 분도계신데 중요한 건 근처에 맨발로 걸을 수 있는 장소가 거의 없습니다. 그래서 오
nohu50.com
■ 병원선택
부정교합 치료하실 때 제일 중요한 게 무엇인지 알고 계십니까? 병원선택이 제일 중요하다고 생각됩니다.
병원은 가장전문적이고 믿음이 가는 대학병원이 있을 것이고 교정전문으로 하면서 엄마들의 입소문을 타고 있는 중형급 인기 병원이 있습니다.
그리고 자기 집 주변의 개인병원도 있을 것입니다.
교정치료 들어가면 보통 2년 정도 걸립니다. 한번 시작하면 중간에 다른 병원 옮기기도 애매합니다. 저는 위에서 말한 세 종류의 병원에 모두 상담을 받아보았습니다.
그런데 모두 각자의 교정치료 마인드가 있는지 발치를 해야 된다 안 된다는 등 치료 방법이 모두 틀렸으며 비용도 차이가 났습니다.
2023.08.11 - [돈을 아끼는 건강정보] - <내돈내산>탈모치료 예방 원텍 헤어빔 사용 리얼 솔직 후기
<내돈내산>탈모치료 예방 원텍 헤어빔 사용 리얼 솔직 후기
탈모 치료 예방에 효과가 있다고 해서 원텍 헤어빔을 직접 구매하여 사용한 후기를 작성해 보았습니다. 탈모인구가 남녀노소를 가리지 않고 늘어나고 있습니다. 탈모의 고통은 제가 20년을 겪어
nohu50.com
1. 대학병원
상담받았던 대학병원에서 치료여부 선택기준으로 모두가 괜찮았지만 결정적인 것은 거리가 너무 멀었으며 브라켓을 붙이게 되면 수시로 병원을 가야 되는 상황이 발생되는데
먼 거리를 갈 수 없으며 교수님 진료시간에 맞춰서 가야 되는 불편함이 있습니다. 또한 비용도 제일 비싼 걸로 알고 있습니다.
◎ 장. 단점
- 전문적이고 종합적인 치료가 가능.
- 비용면에서 타 병원보다 고가.
- 치료 시 처음에는 병원에 자주 가야 되는데 진료시간에만 갈 수 있음.
- 환자들이 많아 소통시간이 다소 부족함.
- 간혹 먹튀 하는 의사도 있는데 그런 경우는 없음.
40대 비절개 모발이식(3000모) 후기 병원 및 가격 생착률 주의사항
40대 비절개 모발이식(3000모) 후기 병원 및 가격 생착률 주의사항
40대에 비절개로 3,000모 모발이식한 경험으로 병원 및 가격 주의사항을 자세하게 정리하였습니다. 혹시 모발이식을 고민하는 우리 탈모인이 계시다면 천천히 읽어보시고 도움이 되었으면 합니
nohu50.com
2. 유명한 중형 병원
시내 중심가에 있는 입소문 난 유명 병원에서 상담을 받았습니다. 입소문대로 치료환자가 엄청 많았으며 시설은 너무 쾌적하고 최신의 장비로 구비되어 있는 것 같았습니다.
환자가 너무 많으면 2년 동안 치료를 받아야 되는데 상담 및 소통이 잘 이루어질까 하는 생각도 해보았습니다.
혹시 페이 닥터들이 다른 병원 또는 먼지역으로 개업을 하면 이 또한 난감한 상황이 벌어질 수 있어 선택을 할까 말까 고민이 좀 되었습니다.
◎ 장. 단점
- 많은 환자가 있듯이 경험이 풍부.
- 유명한 병원으로 비용이 고가.
- 의사 선생님이 너무 바빠 제대로 내 아이치료에 집중해 줄지 걱정.
- 혹시 타 지역으로 전근 또는 개업을 할 경우 대처가 안 됨.
2023.08.15 - [힘이 되는 생활정보] - 모기(벌레) 퇴치 예방 하는 방법 총정리 < 식물 패치 어플 >
모기(벌레) 퇴치 예방 하는 방법 총정리 < 식물 패치 어플 >
모기를 예방하고 퇴치하는 방법으로 식물, 패치, 어플을 간단하게 정리하였습니다. 밤새도록 모기에 시달리고 회사에 출근하면 늘 피곤합니다. 물린 곳을 긁으면 짓물도 나고 참.. 먹고살기도
nohu50.com
3. 개인병원
세 번째로 상담받은 병원으로 집 근처에 검색을 하고 지인추천으로 알게 된 개인병원입니다. 결국 개인병원을 선택을 하였지만 결과적으로 지금까지 치료과정은 매우 만족하고 있습니다.
선택을 하게 된 이유는 맘카페에 열심히 검색을 한 결과 처음 치료를 시작하면 브라켓이 탈락이 되거나 불편사항이 생기고 입에 상처가 나면 조정을 수시로 해야되기 때문에
집과 가까운 곳으로 하는 것이 좋으며 1인개인 병원은 환자의 수가 타 병원에 비해 많지 않아 상담 및 소통이 잘되고 치료에 집중을 할 수 있는 장점이 있습니다.
여기서 가장 중요한 건 실력과 경험이 있는지가 중요한데 지인 여러 명이 치료를 받고 있는 병원이었고 평판도 아주 좋아서 충분한 상담을 가져보았습니다.
◎ 장. 단점
- 치료초기 자주병원방문을 위해 집 가까운 병원이 좋음.
- 개인병원은 환자개인에게 최선을 다함.
- 개인병원은 환자부모님과도 소통이 잘됨.(아닌 경우도 있으니 상담 시 확인을 잘해야 됨)
- 동네 중심병원이므로 병원평판 및 실력을 한 다리만 걸쳐도 알 수 있음.
2023.07.02 - [돈을 버는 지식정보] - 저작권 없는 무료 이미지 동영상 다운로드 추천 사이트 TOP3
저작권 없는 무료 이미지 동영상 다운로드 추천 사이트 TOP3
블로그 포스팅 하실때 저작권 없는 무료이미지가 많이 필요하시죠? 무료이미지 다운로드 사이트가 많아 어떤사이트를 이용해야 될지 고민이시면 아래의 사이트 3곳만 이용해도 충분할것 이라
nohu50.com
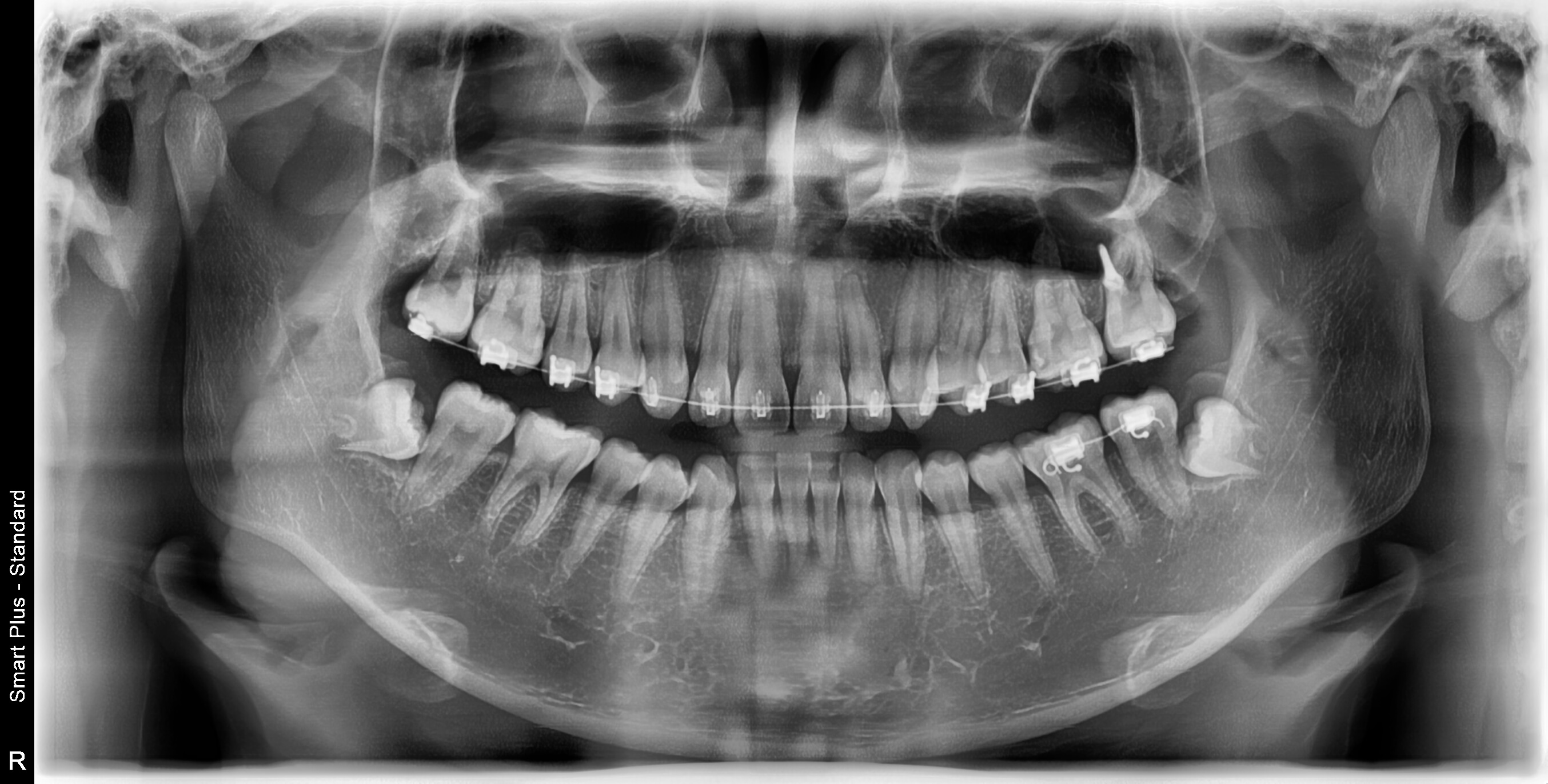
■ 정밀검사 1차
전체적인 치아상태 및 배열 안면윤곽 상태 등 정밀검사를 실시하였으며 아들이 고등학생이어서 성장판 검사는 별도로 하지 않았습니다.
정밀검사비용은 150,000원이 들었으며 전체교정비용은 590만 원으로 결정이 되었습니다. 치료방법에 따라 다르기 때문에 참고만 하시길 바랍니다.
● 검사결과 내용
치아뿌리상태는 좋고 어금니 가위교합(3개월정도)을 먼저 하고 어느 정도 진행이 되면 전체브라켓을 설치 후 과개교합(2개월정도) 교정을 실시한후 2차 정밀검사를 하고 발치여부를 판단하기로 하였습니다.
저는 상담 시 되도록이면 발치는 하지 않는 방향으로 한다고 말씀드렸고 다행히 2차 정밀검사 마친 후 발치 없이 전체교정을 시작할 수 있었습니다.
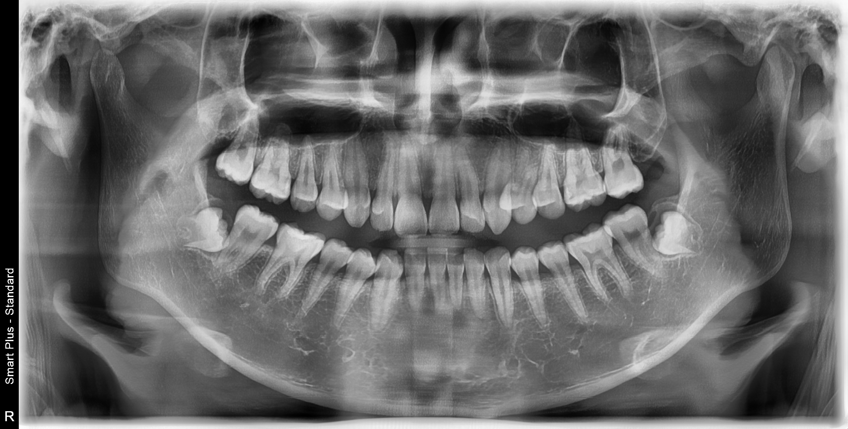
▼ 1차 정밀 검사 X-RAY


▼ 치아상태 및 얼굴 각도 치아 치수확인


전주 한옥마을 연인 및 가족을 위한 체험 프로그램 총정리
전주 한옥마을 연인 및 가족을 위한 체험 프로그램 총정리
전주 한옥마을 구경을 가시면 먹거리 구경거리 체험할 곳이 정말 많이 있는 것은 알고 계시죠? 막연하게 구경하면 시간배분이 안 되어 여행 다녀와서 조금 아쉬움이 남을 수도 있습니다. 연인
nohu50.com
■ 교정 실시 (가위교합) - 3개월 완료
저는 치아가 자유로이 움직인다는 것을 처음 알았습니다. 그리고 복원력이 있다는 것도 알게 되었는데요. 사진에서 보듯이 어금니가 옆으로 누워있습니다.
위, 아래 어금니가 모두 그렇는데 아래 어금니는 브라켓 설치로 힘을 주어 잡아당기고 있고 윗 어금니는 스크류를 박고 고무줄(체인)로 잡아당기고 있습니다.
3개월 정도 조금씩 당겨보니 정말 신기하게 어금니가 제자리로 돌아오고 있습니다. 참... 세상 좋아졌습니다. 돈만 있으면 편한 세상이란 걸 다시 한번 느껴봅니다.
참고로 저는 아들 두 명 모두 치아교정을 실시하고 있어 1200만 원 가까운 비용이 들고 있는 상태입니다... 허리가 휘어집니다. 게다가 학원비까지.... 부모님들 파이팅!입니다.
2023.07.29 - [돈을 버는 지식정보] - mbti 원리 및 성격유형 테스트 무료검사 해석방법 완벽정리
mbti 원리 및 성격유형 테스트 무료검사 해석방법 완벽정리
MBTI 성격유형 테스트를 무료로 할 수 있는 방법과 해석을 자세하게 정리를 하였습니다. 요즘 혈액형으로 성격테스트한다면 "라떼" 소리 듣습니다. 상대방을 이해할 수 있는 참고사항으로 재미로
nohu50.com
1. 가위교합 교정실시 (1개월 브래킷설치)
1개월 차 어금니 교정은 크게 변화가 없었습니다. 이때 선생님께서 조금 강도를 높여 조정에 들어갔고 2개월 차부터 서서히 움직이기 시작했습니다.
▼ 아래 어금니 블라켓으로 고정후 힘을 주어 당기고 있는 모습


▼ 윗 어금니는 스크루를 박고 체인으로 묶어서 한 단계씩 줄여나가면서 이동시킴.


2. 가위교합 교정실시 (3개월 상태)
사진을 보시면 거의 정상으로 돌아왔습니다. 사실 이때 이 정도면 그냥 살아도 되지 않나 하는 생각도 해보았습니다.
하지만 이 상태로 두면 치아는 복원력이 강해 다시 누울 수 있고 어금니가 일어섬으로써 다른 치아들과 맞물리는 높이가 맞지 않아 더 큰 문제 발생된다는 것을 알았습니다.
윗 어금니는 생각보다 제자리에 돌아오는 속도가 늦었으나 전체 블라켓을 설치하고 과개교합 교정에 들어갔습니다.
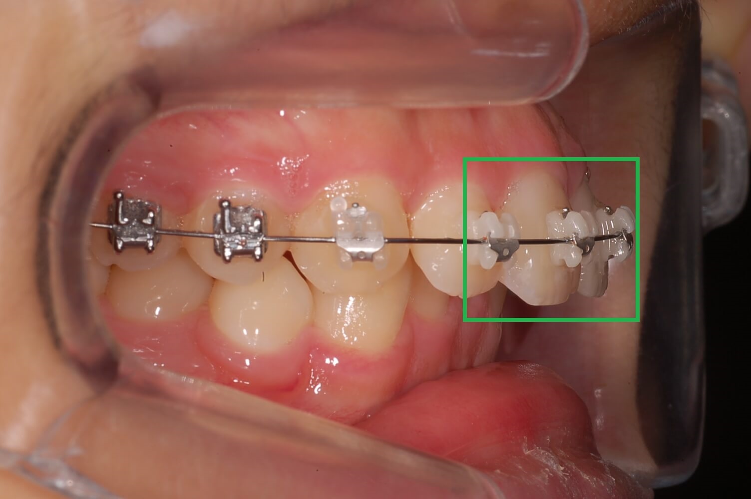
▼ 3개월 후 어금니 가위교합 교정상태(아래 어금니)


▼ 3개월후 어금니 가위교합 교정상태(윗 어금니)


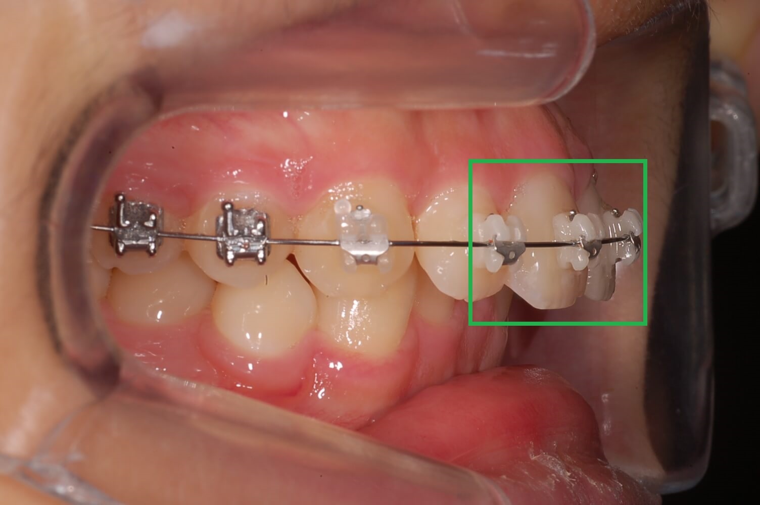
3. 가위교합 + 과개교합 교정실시 (전체브라켓 부착)
3개월간 가위교합 교정이 들어갔고 어느 정도 어금니가 제자리로 돌아왔습니다. 과개교합 교정을 위해 전체브라켓을 부착 하고 있는 사진입니다.
사진에 보면 철사가 S자 모양으로 휘어져 있습니다. 이 철사가 일자형으로 복원이 되면서 틀어진 치아배열을 정돈한다고 하는데 정확한 전문지식은 아니니 참고만 해주세요.
▼ 어금니 교정 후 전체 브라켓 부착


■ 정밀검사 2차 (5개월차)
전체 교정 브라켓을 부착 후 2달 정도 지나고 나니 S자로 휘어진 철사가 어느 정도 일자로 복원되면서 앞니의 치아배열이 가지런하게 정리가 되어있습니다.
이제부터 본격적인 장기레이스 정밀하게 교정에 들어가기 위해 2차 정밀 검사를 하게 되는데요. 좀 더 미관적으로 기능적으로 좋은 치료 방향을 잡기 검사를 하였습니다.
검사결과 발치여부의 선택이 있었고 발치를 하면 약간 튀어나온 입이 좀 더 보기 좋게 들어갈 수 있고 발치를 하지 않아도 크게 문제가 되지 않는다고 하였습니다.
발치로 인해 얻는 효과가 크지 않아 비발치로 선택하고 본격적인 교정에 들어갔습니다.
2023.08.01 - [힘이 되는 생활정보] - 경남 산청 경호강 래프팅 당일치기 가족여행 리얼후기
경남 산청 경호강 래프팅 당일치기 가족여행 리얼후기
경남 산청 경호강 래프팅을 당일치기로 다녀왔습니다. 가격 준비물 위치등을 자세하게 정리하였습니다. 아이들과 함께 하기에는 정말 좋은 체험인 것 같습니다. 노를 젓는 것이 조금 힘들 수 있
nohu50.com
● 검사결과 내용
교정 진행과정은 순조롭게 진행이 잘되었으며 전체 교정기간 5개월 정도 지난 후 상태를 확인하였고 발치 후 교정, 비발치 교정의 선택만 하면 되었습니다.
위, 아래 발치 2개씩을 하면 치아공간이 생겨 좀 더 나은 교정이 될 수 있지만 비발치를 하여도 크게 문제가 되지 않기에 비발치를 선택하였습니다.
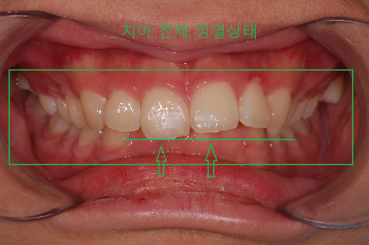
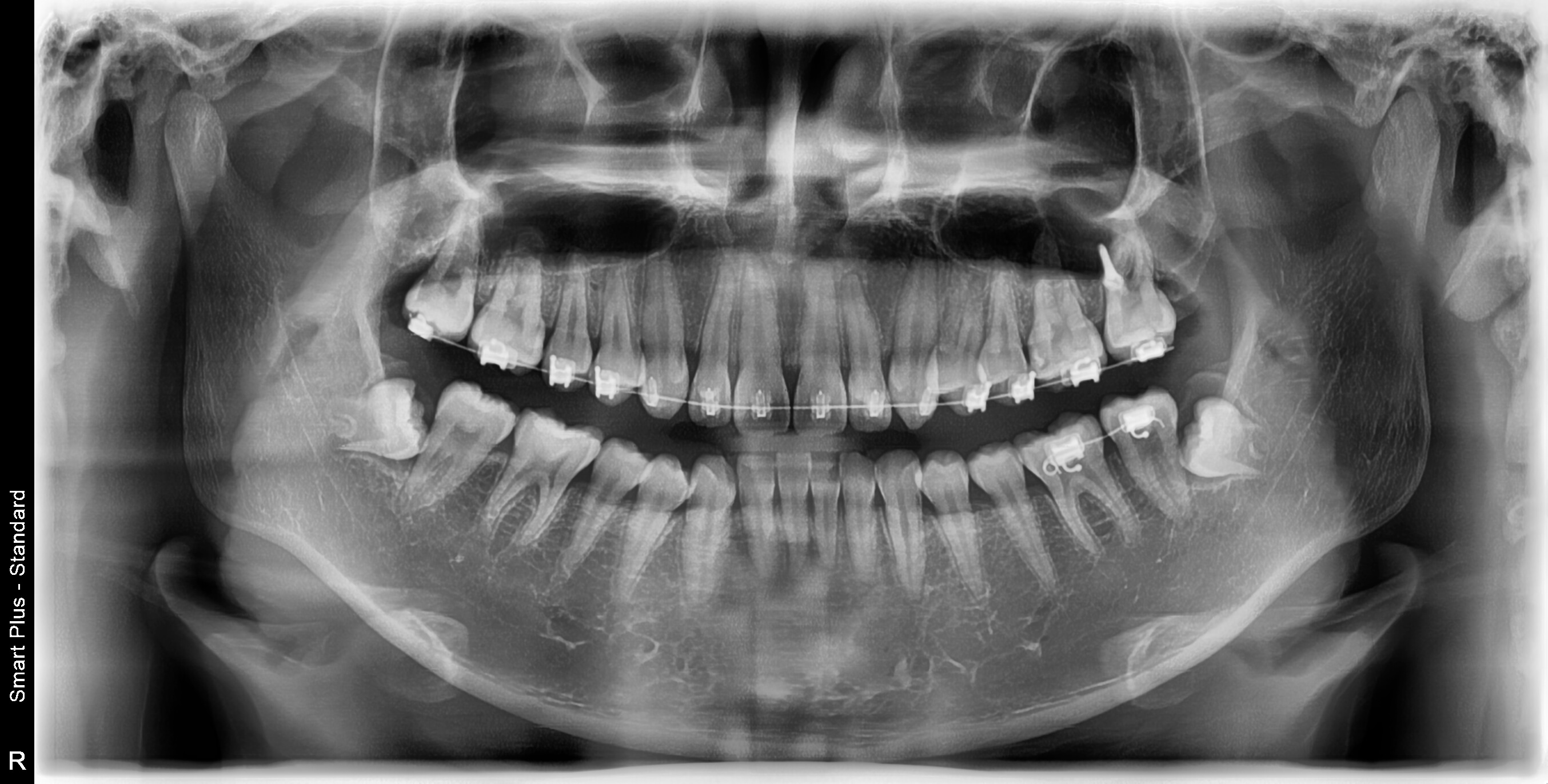
▼ 5개월 교정 후 사진(1)


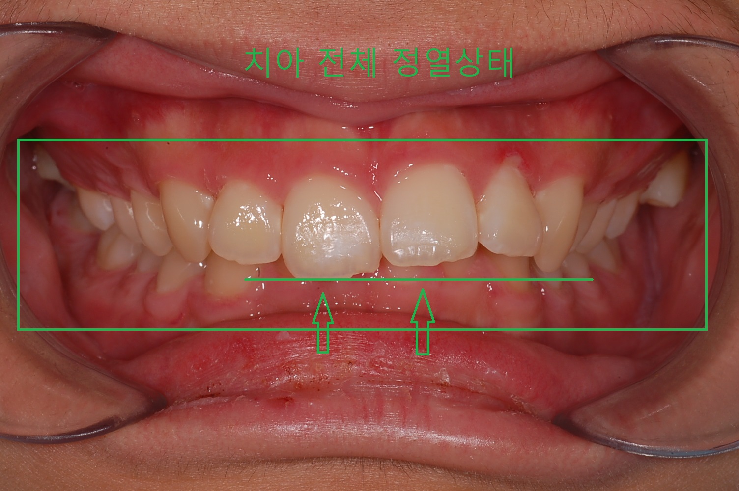
▼ 5개월 교정후 사진(2)


▼ 5개월 교정후 사진(2)


부산 기장 해동 용궁사 방문후기 (주자창 및 입장료)
부산 기장 해동 용궁사 방문 후 주차장 및 입장료 가는길 등 자세하게 정리해 보았습니다. 부산 가볼만한곳 중 바닷가 앞에 지어진 사찰로 용궁사가 엄청 유명합니다. 주말에 가면 여기가 동남
nohu50.com
■ 교정 실시 (전체교정) - 진행 중
현재는 윗니에만 전체브라켓을 설치하여 교정중이며 2달후 어느정도 교정이 되면 아랫니에도 전체브라켓을 설치할 예정입니다.
그렇게 하면 장치추가나 검사 없이 2년 정도 교정에 들어가면 되는 상태입니다. 중간중간 치아상태 확인하고 조정이 들어가면서 마무리를 하면 될 것 같습니다.
▼ 현재 교정 진행 중 (윗니에만 브라켓 설치한 상태)


■ 마무리
아는 것이 힘이라고 했던가요? 좀 더 일찍 교정을 했더라면 좀더 나았을걸 하는 생각이 듭니다. 치아 부정교합이 이렇게 오랜 시간이 걸릴 줄은 몰랐네요.
5개월간 둘째 아들 가위교합, 과개교합 교정과정을 정리를 해보았습니다. 다음 블로그 글에서는 그 뒤의 진행과정을 정리하도록 할게요. 조금이나마 도움이 되었으면 합니다.
사랑하는 우리 자녀를 위해 열심히 노력하는 부모님 모두 파이팅입니다!



▶40대 추천 자격증! 자동차운전 전문학원 <기능강사 학과강사 기능검정원>
▶경남 당일치기 가볼만한곳 아이들 체험위주 ( 더카트인통영 )
▶경남 노지 차박 캠핑 이보다 더 좋을순 없다!! (경주 관성 솔밭 해변)
▶타이어 공기압 적정수치 및 경고등 원인 및 해결방법 <필수사항>
▶탈모 완화 닥터 모리엔 내돈내산 3개월 실제 사용후기
잠깐만요!! 함께 보면 좋은 글들이 있습니다.
2023.07.22 - [돈을 아끼는 건강정보] - 40대 중년 건강 복싱해도 될까? 복싱할때 부상 및 주의점 운동꿀팁 !
40대 중년 건강 복싱해도 될까? 복싱할때 부상 및 주의점 운동꿀팁 !
40대 중년에 복싱을 고민하시는 분들에게 복싱운동의 효과와 부상 및 주의점을 간단하게 정리해 보았습니다. 저는 40대 후반 힘든 시기를 지나갈 때 복싱이 나에게 큰힘이 되어 간략하게 소개해
nohu50.com
2023.08.02 - [힘이 되는 생활정보] - 가족여행 강원도 풀빌라 프라이빗 펜션 강력 추천 top3
가족여행 강원도 풀빌라 프라이빗 펜션 강력 추천 top3
가족여행으로 프라이빗한 풀빌라를 찾으신다면 비치힐 , 프레임하우스, 이즈원을 알아보시는 것도 좋을 거라 생각합니다. 바다뷰를 원하시면 비치힐 , 이즈원이 좋으며 강과 자연을 함께 느끼
nohu50.com
2023.06.23 - [돈을 아끼는 건강정보] - 탈모 완화 닥터 모리엔 내돈내산 3개월 실제 사용후기
탈모 완화 닥터 모리엔 내돈내산 3개월 실제 사용후기
현재 탈모를 겪고 있고 이를 극복하기 위해 노력하는 모든 분들을 응원합니다! 내나이 중년의 문턱을 넘어 가는시점에 남성형 탈모를 겪고 있는 탈모선배로서 요즘 쇼핑몰에서 핫하게 뜨고 있
nohu50.com
'돈을 아끼는 건강정보' 카테고리의 다른 글
| 아르게이지 아르기닌 50대가 알려주는 진짜 리얼후기 !! <내돈내산> (0) | 2023.11.21 |
|---|---|
| 수영 운동 후 왼쪽 어깨통증 있으신분 필독 ! (회전근개 파열 치료중) (0) | 2023.10.04 |
| <3분꿀팁> 급똥이 발생하는 원인 및 진정 시키고 참는방법 ! (0) | 2023.08.13 |
| <내돈내산>탈모치료 예방 원텍 헤어빔 사용 리얼 솔직 후기 (0) | 2023.08.11 |
| 40대 비절개 모발이식(3000모) 후기 병원 및 가격 생착률 주의사항 (0) | 2023.07.24 |
